În urmă cu câțiva ani, Centrul Medical Speranța, fondat de medicul cardiolog Radu Popa, a adus în premieră în Craiova ecocardiograful 4D, un echipament de ultimă generație cu elemente de inteligență artificială pentru ecografii cardiace, standardul de aur în domeniu.
Ecocardiografia ultrarapidă 4D poate cuantifica indicii majori cardiaci Doppler într-o singură achiziție de bătăi cardiace. Acuratețea 4D este dovedită ca fiind extrem de importantă şi în ceea ce privește evaluările în Cardio-Oncologie, precizează dr. Popa.
Imagistică avansată pentru pacienţii cardiaci
Tot medicul Radu Popa este și cel care a efectuat și primul cardio-CT pe plan local, fiind deschizătorul de drum în imagistica medicală cardiologică avansată. “În cadrul coronarografiei CT, se calculează și scorul de calciu de pe vasele inimii”, menţionează specialistul.
Într-o lume care abia mai ține pasul cu revoluția tehnologiilor, cardiologul spune că pentru a practica medicina prezentului trebuie să fii mereu cu un pas spre viitor. „Medicina de astăzi înseamnă adaptare continuă, într-un ritm accelerat, nemaiîntâlnit. Pentru a-i oferi pacientului acces la cele mai bune servicii medicale, specialistul trebuie să facă față evoluției tehnologiei”, transmite dr. Radu Popa.
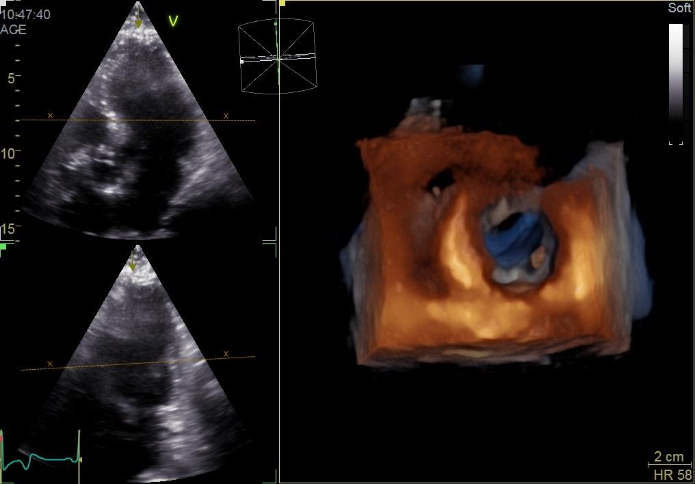
Clinica Speranţa şi-a extins gama de aparatură ultraperformantă
Încă de la deschiderea Clinicii Speranța, echipa centrului medical și-a propus să le ofere pacienților, atât adulți, cât și copii, acces la cele mai noi tehnologii pentru diagnostic şi tratament
La Clinica Speranţa, aceştia beneficiază de investigaţii cu echipamente performante. În acest an, clinica și-a extins gama de aparatură ultraperformantă și cu un echipament de ultimă generaţie pentru ecografie transesofagiană cardiacă.
Fondatorului centrului i s-a alăturat o echipă de medici cardiologi foarte bine pregătiți şi dedicaţi, formată din Dr. Adrian Coandă, Dr. Ionel Marinaș, Dr. Alina Bondoc, Dr. Gabriel Vîlceanu, Dr. Diana Cherata, Dr. Corina Vasile şi Dr. Mihaela Berceanu.
În cadrul clinicii, pacienții pot efectua teste TILT (testul mesei înclinate, pentru pacienţii care se confruntă cu leșin recurent pentru care alte cauze au fost excluse), Holter, test de efort, ecografie Doppler cardiacă sau vasculară şi alte investigaţii cardiace de ultimă oră.
Cele două clinici Speranţa se află pe Strada Înfrățirii , la nr. 16 şi nr. 17, Craiova. Pentru programări şi informaţii, pacienţii pot lua legătura cu echipa la numărul 0771493887.
Detalii pe www.clinicasperanta.ro.

